Что может быть причиной боли между ребер?
Когда беспокоит боль между ребер, вас или ваших близких охватывает беспокойство. Ведь в грудной клетке расположены жизненно важные органы: легкие, сердце, крупные кровеносные сосуды. Почему болит между ребрами? Когда следует немедленно обращаться за врачебной помощью? Как можно себе помочь?
По каким причинам возникают боли между ребер?
Травмы грудной клетки
Травма грудной клетки включает в себя ушиб ребер или их перелом. Эти состояния сопровождаются разными болевыми ощущениями от постоянных ноющих до интенсивных резких.
Ушиб обычно сопровождается неинтенсивной болью, отеком и гематомой в месте травмы. Болезненность приобретает ноющий постоянный характер и проходит самостоятельно через 7-10 дней.
Перелом обычно из-за боли не остается незамеченным и вынуждает человека обратиться к врачу. Рентгеновское исследование позволяет установить степень повреждения и исключить травму легких.
Перелом кости может быть поднадкостничным, то есть не затронута надкостница и отломки остаются на месте. Или в кости может образоваться трещина – это самая благоприятная разновидность повреждения. А в тяжелых случаях бывают многооскольчатые переломы, которые опасны повреждением легочной ткани, развитием кровотечения и нарушения дыхания. В таком случае сразу начинает страдать общее состояние больного.
Травма грудной клетки отличается длительно сохраняющейся болезненностью. Обычно локализуется боль между ребрами слева или справа, в зависимости от стороны повреждения. Усиливаются при дыхании и кашле. При переломах можно заметить деформацию грудной стенки.
Межреберная невралгия
Боль между ребрами по ходу нервов обусловлена защемлением или раздражением нервных корешков. Обычно это состояние развивается резко вследствие сдавления нерва при остеохондрозе грудного отдела позвоночника, межпозвонковой грыже или протрузии. Приступы провоцируют физические нагрузки, переохлаждения, инфекции или травмы спины, заболевания типа рассеянного склероза или полинейропатии.
При межреберной невралгии болит между ребрами справа или слева. Боль жгучая, простреливающая, напоминающая удар током. Она усиливается при глубоком дыхании, изменении положения тела, резком движении. Пациенты находятся в вынужденном положении с наклоном туловища в здоровую сторону, щадят больную половину грудной клетки. Если боль между ребрами локализуется слева, то она может имитировать сердечный приступ.
При пальпировании (ощупывании) грудной клетки определяется болезненность по ходу нерва в межреберьях или в точках выхода нерва около позвоночника. Там же определяются онемение или покалывание.
Стенокардия
Если болит между ребрами посередине спереди, то стоит исключить заболевания сердца. Приступ стенокардии или острый инфаркт миокарда проявляется загрудинными болями, которые могут распространяться в левую часть грудной клетки, в челюсть.
Боли при стенокардии постоянные, давящего сжимающего характера, сопровождается чувством страха, иногда – нарушением сердечного ритма, не меняется при смене позы. Прием нитроглицерина купирует приступ.
Если есть подозрение, что боль между ребрами спереди по центру
имеет связь с сердцем, то необходимо сразу обращаться за медицинской помощью. Регистрация электрокардиограммы позволит исключить такое серьезное заболевание, как острый инфаркт миокарда.
Опоясывающий лишай
Герпетическая инфекция может протекать с болью между ребрами с одной стороны, слева или справа. Болевые ощущения интенсивные, иногда нестерпимые, сопровождаются зудом, жжением или онемением. Отличительным признаком опоясывающего лишая является пузырьковая сыпь, возникающая по ходу межреберных нервов. Страдает и общее состояние пациента: повышается температура, беспокоит общая слабость, тошнота.
Синдром Титце
Синдром Титце (реберный хондрит) – хондропатия, воспаление реберного хряща в месте его прикрепления к грудине. Патология встречается редко, но забывать о ней не стоит. Боли при хондрите нарастают постепенно, их интенсивность невелика. Пациенты отмечают локальную болезненность, усиливающуюся при движении туловища. Болевые ощущения сопровождаются плотной припухлостью в области хрящей.
Злокачественные новообразования костей
Остеосаркома ребер – злокачественная опухоль костной ткани. Болевые ощущения сначала тупые, неясные, а затем усиливаются, становятся нестерпимыми, лишают сна, лишь ненадолго снимаются анальгетиками. Одновременно развиваются симптомы опухолевой интоксикации, метастазы.
Плеврит
Боли между ребрами могут возникнуть при пневмонии, осложненной плевритом, возникают при кашле и глубоком вдохе, уменьшаются при положении на больном боку. Распознанию плеврита способствует рентгеновское исследование органов грудной клетки.
Как лечить?
Причин, почему болит между ребрами, множество. Поэтому заниматься самодиагностикой и самолечением при подобных состояниях невозможно. При появлении перечисленных выше симптомов следует обратиться к терапевту. Может потребоваться консультация невролога, травматолога, кардиолога или пульмонолога. Только полноценное медицинское исследование поможет установить правильный диагноз, начать адекватное лечение и избежать развития тяжелых осложнений.
Кстати, вас также могут заинтересовать следующие БЕСПЛАТНЫЕ материалы:
Боль в спине под ребрами: что делать?
Кости человека снабжены нервными волокнами, кровеносными сосудами, как и многие органы в межреберном пространстве. Когда человек чувствует боль в спине под ребрами – это повод подумать о своем здоровье.
Эти ощущения могут являться симптомами определенного заболевания. В причинах возникновения болевых ощущений может разобраться только специалист.
Болезни, провоцирующие болевой синдром в реберных костях
Болезненные проявления свидетельствуют о возникновении заболевания внутреннего органа или реберного каркаса, тканей вокруг него:
- Ушибы грудной клетки, удары, переломы вызывают тупую боль, глубокое дыхание будет ее усиливать.
- Патологии позвоночника: остеохондроз. грыжи между позвонками проявляются болью в спине, ребрах.
- Невралгия межреберная вызывает болезненные ощущения, усиливающиеся при дыхании, движениях.
- Воспаление легких, плевры вызывают дискомфорт в разных местах грудной клетки.
- Опухоли.
Современная диагностика, рентген, ультразвуковое обследование позволяют поставить точный диагноз, назначить лечение.
Иногда резкий поворот, изменение положения тела, поднятие большого груза может вызвать болевой синдром в позвоночнике, ребрах. Это признак радикулита. особенно, если отдает в ягодицу, ногу.
Ушибы, переломы
При травмах возникает характерная боль:
- Ушиб вызывает сначала резкую боль, затем она становится ноющей. В месте ушиба появляется синяк, до которого больно дотрагиваться.
- Перелом реберной кости сопровождается сильной болью в ребрах и в спине, может ощущаться во всей груди.
Переломы характеризуются тремя разновидностями:
- Трещина, когда происходит только надлом кости.
- Перелом, когда надкостница остается целой.
- Полностью сломанная реберная кость опасна тем, что осколки могут повреждать внутренние органы, легкое.
Признаками перелома является дискомфорт при глубоком вдохе, разговоре, даже от перемены тела, не говоря уже о физических нагрузках. Может нарушаться ритм сердца, тогда кожа человека синеет.
Сильные болевые ощущения в спине, ребрах, кровохарканье сопровождают повреждение легкого осколками кости.
Межреберная невралгия
По каждой кости проходят мышцы и нервы, выходящие из спинного мозга. Когда нерв защемляется, раздражается, появляется пронзительная, жгучая боль. Иногда она беспокоит слева либо справа в груди, чаще болит спина с двух сторон.
Можно нащупать две точки, с возникающей острой болью при нажатии на них, возле грудины и возле позвоночника. Причиной является сдавливание нерва либо растяжение мышц: плечевых, лопаточных.
Сдавливание может быть результатом травмы, когда межреберное пространство деформируется. Неприятные ощущения усиливаются при растяжении мышц, при наклонах, движении плечами.
Позвоночник
К самому частому заболеванию спины относится остеохондроз, возникающий из-за воспалительных процессов в позвоночном столбе, дегенеративных изменений в нем. Наблюдается болевой синдром в спине под ребрами сзади.
Он может усиливаться по ходу пораженного нерва. При хронической форме – это ноющие болезненные ощущения, в стадии обострения заболевания возникает прострел. Больному трудно двигаться, наклоняться, повернуться, приходится находиться в одной позе.
Вегетативные невралгические нарушения в сосудистой системе вызывают неожиданные болевые ощущения, человеку кажется, что болит вся спина и реберные кости.
К симптомам можно отнести: скачки давления, дыхательную недостаточность, сердцебиение, приступы стенокардии, раздражение кишечника. бессонницу.
Межпозвоночная грыжа в грудном отделе вызывает дискомфорт в реберных костях, сначала не очень сильный.
Со временем он настолько усиливается, что становится невыносимо, когда болят ребра на спине с обеих сторон. Болезненные ощущения могут проявляться в шее, конечностях.
Остеопороз — заболевание возникает из-за низкого содержания кальция в костях. Чаще это происходит при старении организма, когда нарушаются обменные процессы, плохо всасывается витамин D, кальций из пищи в кишечнике.
Процесс разрушения костей усиливается, восстановительная способность снижается. Возникают болезненные ощущения со спины под реберными костями, происходящие из-за множественных микроскопических переломов.
В результате появляющиеся острые края кости раздражают надкостницу, богатую нервными окончаниями.
Болезни легких
Плевра укрывает легкие снаружи, примыкая тесно к реберному каркасу. Ее пронизывают нервные окончания в большом количестве, которые раздражаются при различных заболеваниях.
Пневмония правосторонняя характеризуется болью, усиливающейся при кашле, дыхании. Сухой плеврит вызывает такие ощущения, когда болят ребра на спине с обеих сторон.
Злокачественные опухоли
Опухоли могут быть злокачественными – это остеосаркомы. При этом заболевании возникают ноющие боли, могут носить колющий, тянущий характер. Иногда болевые ощущения проявляются только ночью, при каком-то положении тела.
Часто опухоль долгое время никак не проявляет себя, а начинают болеть ребра со спины после удара, травмы.
Больной может не подозревать о существовании опухоли, а болезненные ощущения относит насчет удара, хотя в месте их возникновения можно видеть припухлость, нащупать шишку. Диагностируют заболевание при помощи биопсии.
Понравилось? Тогда изучите и эти материалы:
Причины и диагностика спинных болей справа под рёбрами
Боль в спине является довольно распространенным симптомом не только среди взрослого населения, но и среди пациентов детского возраста. Она может иметь различный характер, выраженность и периодичность, возникая на фоне различной патологии внутренних органов или позвоночника. Одним из сложных для диагностики синдромов является боль сзади в спине справа под ребрами, которая требует проведения ряда дополнительных лабораторных и инструментальных обследований.
Каковы причины такого симптома?
Причиной возникновения боли под ребрами справа в области спины может стать ряд заболеваний, как позвоночного столба, так и органов грудной клетки, брюшной полости, забрюшинного пространства. Основные из них следующие:
- Заболевания позвоночника. Наиболее часто #8212; это остеохондроз грудного отдела, который приводит к межреберной невралгии справа или слева. Также причиной иногда является спондилоартроз, межпозвоночная грыжа, реже спондилиты воспалительного или опухолевого характера.
- Инфекционные болезни. Боль под ребрами может возникать при герпетической межреберной
- Пульмонологические заболевания, чаще всего воспалительного характера, например, пневмония, плеврит, плевропневмония, поддиафрагмальный абсцесс. Иногда симптом провоцируют опухолевые образования легких или плевры.
- Болезни печени, желчного пузыря, желчевыводящих протоков. Сюда относятся инфекционные, опухолевые поражения, желчнокаменная болезнь.
- Болезни почек, мочевыводящих путей. Наличие воспалительного процесса почек, а также камней может стать причиной боли в спине справа.
На что нужно обратить внимание?
Если возникла боль сзади в спине справа под ребрами, для того чтобы определиться чем вызван такой симптом, следует обратить внимание на ряд ее характеристик:
- Точная локализация: на боковой поверхности туловища, ближе к позвоночнику, распространяется на переднюю поверхность живота.
- Характер болевых ощущений: диффузная, тупая, приступообразная, стреляющая.
- Выраженность болевого синдрома: ноющая или невыносимая, резкая.
- Куда отдает боль: в лопатку, правое плечо, позвоночник, живот.
- Что усиливает выраженность симптома: наклоны туловища, кашель, натуживание.
- Что ослабляет: тепло, холод, прием обезболивающих лекарств.
Также необходимо обратить внимание на сопутствующие симптомы заболевания. Так, болезни легких и плевры часто сочетаются с кашлем, повышением температуры тела, повышенной потливостью, общей слабостью. Патология органов желудочно-кишечного тракта сопровождается тошнотой, рвотой, горечью во рту. Ниже приведены основные группы патологических состояний, при которых может возникать боль в спине справа под ребрами сзади.
Заболевания позвоночника
При такой патологии болевые ощущения локализуются на спине ближе к позвоночнику. Часто они распространяется по ходу межреберного промежутка. При пальпации отмечается болезненность этой области, а также паравертебралных точек средне- и нижнегрудного отдела. Болевой синдром усиливается при наклонах туловища или ротационных движениях.
Если болевые ощущения вызваны герпетическим поражением, то наряду с ними на коже по ходу межреберного промежутка появляются характерные везикулярные высыпания. При этом боль беспокоит пациента за 2-3 дня до появления герпетических везикул.
Патология почек
Частой причиной синдрома является мочекаменная болезнь, когда камень закрывает просвет мочеточника. При этом боль приступообразная, достаточно интенсивная, заставляет пациента занимать вынужденное положение. Она иррадиирует в паховую область справа, ногу, у мужчин в мошонку. Характерно возникновение дизурических явлений, выделяется моча с примесью крови. Некоторое облегчение может принести прием спазмолитиков или тепло.
Заболевания печени и желчевыводящих путей
При данной патологии боль локализуется справа под ребрами, преимущественно в области живота, распространяется на спину. Также иногда иррадиирует на правое плечо, лопатку. Одновременно с этим возникает тошнота, рвота, горечь во рту.
Если речь идет о желчнокаменной болезни с обтурацией желчных протоков, появляется желтушность кожных покровов. При воспалении желчного пузыря повышается температура тела, ухудшается общее состояние пациента. В данной ситуации необходима срочная медицинская помощь, самостоятельно устранить такой синдром дома вряд ли удастся, а промедление может стать причиной тяжелых осложнений.
Заболевания легких
Воспалительная патология легких также бывает причиной боли в спине сзади под ребрами справа. При этом она может быть достаточно выраженной, особенно при плеврите или поддиафрагмальном абсцессе. Отмечается ее усиление при глубоком вдохе и кашле, она отдает в лопатку, часто пациенты занимают вынужденное положение. Сопутствующими симптомами являются повышение температуры, ухудшение общего самочувствия.
Что делать, если возникает такой симптом?
Прежде всего, следует обратиться к терапевту или профильному врачу -пульмонологу, урологу, гастроэнтерологу, вертебрологу. После осмотра и выяснения особенностей болевого синдрома, вероятнее всего, будет назначена дополнительная диагностика:
- Общий анализ крови, мочи.
- Печеночные пробы, мочевина, креатинин, амилаза, щелочная фосфатаза.
- Ультразвуковое обследование органов брюшной полости или забрюшинного пространства.
- Рентгенография органов грудной клетки.
По показаниям назначают компьютерную томографию с контрастированим грудной клетки или брюшной полости.
В любом случае, при появлении боли под ребрами, даже слабовыраженной, лучше обратиться за помощью к врачу. Он назначит комплексное обследование по результатам которого будет составлена схема терапии.
Такой подход обеспечивает наилучшие результаты лечения и избавляет пациента от болевого синдрома под ребрами за максимально короткий срок.
Комментариев пока нет!
Источник
Многие люди не раз жаловались терапевтам на дискомфорт между ребрами. От такого могут страдать все – взрослые, дети, пожилые люди. При такой проблеме не стоит затягивать с обращением к врачу, ведь это значительно поможет в недопущении более тяжких проблем со здоровьем.
Боль между ребер: причины и лечение
В статье будет рассмотрено, что такое боль между ребер: причины и лечение. Также выделим диагностические методы обнаружения данного недуга.
О ребре
Прежде чем понять, как именно появляются неприятные боли между ребрами, стоит выяснить побольше о строении реберных костей.
Ребро – плоская кость, которая имеет дугообразную форму. Она идет от позвоночного столба до самой грудной кости, где соединяется с другим ребром, образуя пару, которая становится основой грудной клетки. У человека всего есть двенадцать пар ребер, которые примыкают шарообразным концом кости (так называемым мыщелком) к позвоночнику. Из этих пар первые семь крайне плотно связаны с грудной костью, потому их называют «настоящими» ребрами. Оставшиеся пять пар – «ложные». Отметим, что последние две пары имеют связь лишь с позвоночником. По этой причине они считаются «свободными».
Ребра – основа грудной клетки
У некоторых людей наблюдается аномалия в виде отсутствия последней или двух последних пар рёбер. Есть ещё одна аномалия, которая заключается в обнаружении лишней тринадцатой пары.
Иногда одиннадцатую и двенадцатую пары рёбер удаляют посредством хирургической операции. Причины этому бывают разные. Это действие чаще всего объясняется косметическими целями (желание женщин сузить талию) или терапевтическими (улучшение самочувствия).
Описание боли
«Болит между ребрами» – так люди обычно говорят о неприятных ощущениях, которые появляются в груди. Эпицентр этого дискомфорта находится в нижеперечисленных местах:
- мышцы;
- фасции;
- межреберный нерв;
- кость или хрящ.
Дискомфорт в межреберье мешает человеку полноценно жить
Боль в ребрах бывает продолжительной, острой, тянущей, ноющей, а также колющей. Этот недуг беспокоит либо постоянно, либо в конкретных ситуациях, например, при нахождении в одной и той же позе или при выполнении работы, требующей серьезных физических нагрузок.
Почему появляются боли между ребрами
Боль возникает по причине воздействия многочисленных факторов. Как правило, это могут быть заболевания сердца, трахеи, а также ЖКТ. Однако только специалист сможет назвать точную причину дискомфорта.
Ниже будут описаны частые причины появления данного недуга.
Защемление нерва
Защемление нерва – первая причина того, что человек чувствует болевые симптомы в межреберье. Такое обычно происходит при следующих заболеваниях:
- остеохондроз;
- протрузия;
- межпозвонковая грыжа.
Чрезмерная нагрузка на позвоночник, переохлаждение, инфекция, травма – все это может вызвать защемление нерва. Кроме того, рассеянный склероз или полинейропатия также могут стать раздражителями.
Защемление нерва – частая причина появления дискомфорта
У человека может также возникнуть межреберная невралгия. Она вызывает боль во всех частях грудной клетки. Боль во время её развития настолько «жгучая», что напоминает удар электричеством. Причем она становится сильнее, когда человек меняет позу, делает глубокий вдох или совершает резкое движение. Ему приходится выбирать такое положение, в котором боль беспокоит меньше всего. Из-за дискомфорта человек должен наклонять туловище в попытке меньше «напрягать» источник боли.
При проведении процедуры пальпирования врач определяет развитие недуга и наличие покалывания, онемения в грудной клетке исходя из активности нервов в межреберном пространстве.
Если вы хотите более подробно узнать, как лечить защемление нерва, а также рассмотреть эффективные альтернативные методы лечения и средства, вы можете прочитать статью об этом на нашем портале.
Видео — О межреберной невралгии

Язва желудка
Язва вызывает резкую боль между ребер, которая схожа с «ударом кинжала». Она возникает в подреберье слева, и это особенно остро чувствуется ночью. В межсезонье, т.е. весной или осенью, болезнь протекает интенсивнее. Боль может иррадировать в следующие места:
- левое ребро;
- спина;
- поясница.
Облегчить положение может смена позы. Это помогает снизить чувствительность.
Следует всегда внимательно контролировать состояние органов ЖКТ
Помимо этого, боли при язве желудка могут появиться спустя продолжительное время после приёма пищи. В этом случае причинами служат перенапряжение и нестабильное эмоциональное состояние (например, стресс).
Боль может проявиться из-за кровотечения, появлению которого способствует язва желудка, что крайне опасно для жизни больного.
Важно! Примечательными признаками язвы считаются метеоризм, запоры и изжога.
При затяжном развитии недуга больные начинают сильно худеть. Кроме того, появляются такие симптомы:
- слабость;
- головная боль;
- раздражительность.
Небрежное отношение к здоровью и несвоевременное лечение язвы ведёт к дальнейшему её развитию и переходу в перитонит, который в итоге приводит к смерти.
Острый панкреатит
Такое заболевание поджелудочной железы имеет болезненные симптомы, которые ощущаются в эпигастрии. Эта область имеет треугольную форму и располагается над брюшной полостью.
Резкая боль появляется слева в животе, откуда иррадирует в подреберье и спину.
Панкреатит часто встречается у взрослых людей
Ощущения боли со временем становятся более острыми, проявляются признаки рвоты и тошноты. Следует отметить, что сильная боль остаётся, когда человек глубоко вдыхает или меняет позу.
Поддиафрагмальный абсцесс
Больной, страдающий от такой проблемы, чувствует интенсивную боль, усиливающуюся при резком движении, кашле или глубоком вдохе. К тому же, из-за поддиафрагмального абсцесса есть проблемы в виде сильной лихорадки и интоксикации.
Из-за расширения межреберных промежутков у человека появляется чувство тяжести.
Поддиафрагмальный абсцесс, образующийся ниже диафрагмы, негативно влияет на общее состояние организма
Боли могут быть острыми или умеренными и иррадировать в следующие места:
- плечо;
- лопатка;
- ключица.
При таком недуге больной страдает от икоты, одышки и сухого кашля. Дыхание становится учащенным, а больному нужно находиться в полусидячей позе.
Гастрит
Гастрит является заболеванием желудочно-кишечного тракта, при котором человека часто тошнит и рвёт. Кроме того, у него появляется ощущение тупой боли в межреберье, которая долго не отступает.
Это заболевание наблюдается как при нормальной, так и при повышенной кислотности желудка.
Синдром Титце
Данный синдром — крайне серьёзная патология, которая представляет собой воспаление хрящевых частей в костях ребер, имеющих прямую связь с грудиной.
Синдром Титце – наиболее редкая причина боли между ребрами
Приступы острых болевых ощущений при таком недуге легко перепутать со стенокардией. Стоит, однако, отметить, что в процессе развития синдрома Титце дискомфорт может становиться сильнее при надавливании на ребра.
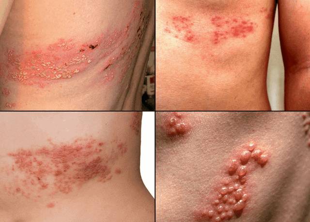
Опоясывающий лишай
Опоясывающий лишай – заболевание, триггером которого является вирус ветряной оспы (Varicella zoster). Он известен своей высокой репродуктивностью и прямым влиянием на функции организма. Помимо неприятных ощущений в виде боли проявляются следующие симптомы:
- рост температуры тела;
- сыпь на коже;
- онемение;
- жжение;
- зуд;
- тошнота;
- слабость.
Опоясывающий лишай – прямой намек на серьёзные инфекционные заболевания
Боли в ходе развития опоясывающего лишая резкие, а иногда они становятся настолько сильными, что их терпеть попросту невозможно. Такие ощущения сопровождаются пузырьковой сыпью, появляющейся там, где располагаются межреберные нервы.
Стенокардия
При появлении боли между ребрами важно понять, можно ли исключить недуги, связанные с сердцем. Стенокардия – синдром, характеризующий заболевания ишемического типа, проявляющийся в грудной клетке слева и в челюсти в виде приступов боли.
Признаки стенокардии:
- давящие и сжимающие боли, которые ощущаются постоянно;
- чувство страха;
- аритмия, которая остается даже после смены позы.
Важно! Прием нитроглицерина помогает уменьшить ощущения боли.
Если есть подозрения на наличие связи между болью в межреберье и проблем с сердцем, нужно срочно обратиться к врачу за медицинской помощью. Процедура электрокардиограммы (ЭКГ) значительно способствует в определении того, является ли стенокардия причиной дискомфорта и болевых ощущений между ребер.
Злокачественная опухоль
При разговоре о боли между ребер речь может зайти об остеосаркоме – опухоли костной ткани злокачественного типа.
Больной, у которого есть подозрения на остеосаркому ребер, чувствует тупую боль, усиливающуюся вплоть до того, что становится совершенно не выносимой.
В целом, при злокачественной опухоли организм претерпевает изменения. Больному все сложнее двигаться, а при отсутствии соответствующей терапии опухоль постоянно увеличивается.
Злокачественная опухоль может серьёзно испортить жизнь человека
Помимо боли, при остеосаркоме у человека появляются метастазы и симптомы интоксикации. Это происходит по причине того, что задеты нервные окончания, иннервирующие ребра.
Остеосаркома лишает человека сна. Приступы боли можно ненадолго снять анальгетиками, но это лишь временная мера.
Плеврит
Одна из причин развития боли в рассматриваемом месте – заболевание, связанное с воспалением плевры.
В период развития плеврита проявляются следующие симптомы:
- боль в ребрах и между ними, которая усиливается при кашле, глубоком дыхании и резких движений;
- высокая температура тела;
- плохое самочувствие;
- сильное потоотделение;
- лихорадка;
- учащенное и поверхностное дыхание;
- одышка.
Плеврит создаёт проблемы не только с дыханием
Плеврит заставляет изменить привычный образ жизни. Больной все чаще стремится сменить позу с целью уменьшить боль и облегчить свое состояние.
Если вы хотите узнать, как лечить опоясывающую боль под рёбрами и в спине, а также рассмотреть возможные причины и альтернативные методы лечения, вы можете прочитать статью об этом на нашем портале.
Гипертонус грудных мышц
Боль в межреберье бывает спровоцирована резким ростом мышечного тонуса. Причинами такого рода изменения служат либо сильная физическая нагрузка, либо перенапряжение.
Характерная черта – нарастание боли происходит во время движения.
Фибромиалгия
Фибромиалгию и гипертонус мышц груди объединяют первопричины их появления. При этом существует разница, которая выражается в том, что у человека, который страдает от фибромиалгии, боль усиливается только если совершаются движения руками вверх или повороты туловища.
Остеохондроз грудного отдела позвоночника
Цены на ортопедические корсеты и корректоры осанки
Это дегенеративное заболевание поражает позвоночный столб. Его прогрессия вызывает боль острого характера в лопатках и между ребер, и создаваемый дискомфорт сопровождается следующими симптомами:
- онемение ног;
- перенапряжение мышц спины и груди;
- проблемы с дыханием.
Остеохондроз негативно влияет на общее состояние организма
Важно! Если говорят, что по ощущениям боль словно «кол в груди» — это признак остеохондроза.
Первая помощь
Только доктор может определить точную причину боли. Если с походом к врачу возникают некоторого рода проблемы, то можно сделать следующие действия.
- Как только появляется боль между ребрами – нужно тут же принять положение, в котором не будет неприятных ощущений. Дискомфорт, как правило, усиливается, если совершать резкие действия, например, наклоны и повороты. Смена положений помогает нормализовать самочувствие. Облегчить состояние может «лежание» на твердой поверхности.
- Чтобы снять боли, нужно принимать обезболивающие препараты. К ним относятся «Анальгин», «Кетонов» и другие. Однако если боль остаётся такой же сильной, лучше ожидать приезда бригады скорой помощи.
- Если боли чувствуются слева (что служит явным признаком стенокардии), стоит отменить всякую работу, требующую физической нагрузки. Вместо неё лучше лечь и выпить «Нитроглицерин».
- Если ощущается дискомфорт в желудке, отдающий в межреберье, – нужно пить больше воды и временно не принимать пищу.
Когда обращаться к врачу?
К доктору стоит обращаться при следующих жалобах:
- продолжительные боли;
- ограниченность движений;
- травма грудной клетки.
Важно знать, что отсутствие лечения рано или поздно спровоцирует различного рода осложнения.
Обращаться к врачу по поводу боли между ребер – значит сделать первый шаг на пути к выздоровлению
Например, стенокардия приводит к инфаркту, плеврит — к пневмонии или абсцессу легкого, онкологические заболевания — к внутреннему кровотечению или даже смерти.
Патологические процессы, которым не было уделено внимание вовремя, приводят к долгому и трудному лечению, которое редко проходит успешно. В наиболее сложных и запущенных случаях болезнь прогрессирует так быстро и сильно, что может закончиться для больного летальным исходом.
Диагностика боли между ребрами
Появившиеся симптомы боли между ребер дают ясно понять, что нужно как можно раньше обратиться к врачу.
Важно! Лучше всего стоит сначала записаться к терапевту.
Диагностику начинают с осмотра пациента и сбора анамнеза, однако этого недостаточно для постановки точного диагноза. Рекомендации к лечению и выбор подходящей терапии врач сможет обозначить после того, как больной пройдёт следующие диагностические процедуры.
| Методика диагностики | Описание | Точность |
|---|---|---|
| УЗИ сердца | Стандартная процедура диагностики, которую можно пройти в любом медицинском учреждении. Назначается при подозрениях на проблемы с сердцем. | 40-60% |
| ЭГДС | Данная диагностика назначается врачом при возможных заболеваниях желудочно-кишечного тракта. | 0.5 |
| Электрокардиография | Метод диагностики, назначаемый при симптомах, указывающих на сердечные болезни. | 50-80% |
| МРТ | Вид малоинвазивной диагностики, которая позволяет получить информацию посредством магнитного резонанса. На здоровье негативно не влияет. | 75-85% |
| КТ | Наиболее информативная диагностическая процедура, по которой можно сразу же определить первопричину болей между ребрами. | 85-90% |
Данные обследования помогут врачу выявить первопричину боли между ребер и поставить окончательный диагноз.
Диагностика боли в межреберье помогает найти способ лечения как можно быстрее
Больному, как правило, нужна помощь в виде консультации со следующими врачами:
- невролог;
- травматолог;
- гастроэнтеролог;
- кардиолог.
Они оценивают состояние здоровья пациента, тяжесть недуга и скорость его развития.
Лечение
После диагностических процедур доктор назначает прохождение курса лечения, которое направлено на устранение симптомов и первопричины боли между ребер.
Например, при сильных болевых симптомах врачи советуют прохождение симптоматической терапии. Она заключается в применении лекарственных средств противовоспалительной и обезболивающей групп. Если же причиной являются заболевания, то больному следует проходить процедуры, основанные на лечении теплом и применении согревающих мазей.
Если боль появляется из-за мышечных спазмов — то назначаются лекарственные препараты, направленные на расслабление мышц, т.е. спазмолитики и миорелаксанты.
Своевременное лечение помогает как можно скорее забыть о заболевании
Физическое и психологическое напряжение часто становится причиной возникновения боли и дискомфорта между ребер. В этом случае больному помогут антациды и антидепрессанты.
Некоторым больным врачи назначают пластыри, обладающие противовоспалительным и обезболивающим действием (например, «Вольтарен»). Также они используют средства, основанные на лидокаине (к примеру, «Версатис»).
«Версатис»
Другие способы лечения
Физиотерапия, мануальная терапия, массаж – эти методы направлены на снятие неприятных ощущений при проблемах с ребрами и перенапряжением мышц груди. Когда боли становятся менее острыми, больному необходимо приступить к выполнению упражнений из курса ЛФК.
В некоторых случаях пациентов просят ограничивать физическую активность с целью избежать ухудшения ситуации. Он проведёт процедуру коррекции мышц, дисбаланс которых связан с принятием определённой позы.
Для избавления от боли между ребер могут помочь физиотерапия и массаж
Физиотерапевтические аппараты
К тому же врачи рекомендуют магнитотерапию, поскольку она помогает справляться с отёками и воспалениями.
При «запущенной» стадии заболеваний консервативное лечение может не дать эффекта – в таком случае необходимо прибегнуть к хирургическому вмешательству. Тип операции зависит от первопричины таких ощущений.
В целом, лечение боли между ребер — сложная задача, которая требует тщательной диагностики и ответственного подхода со стороны пациента.
Профилактика
Боли между ребер часто вызваны физической нагрузкой. Чтобы этого не допустить, человеку нужно заранее подготовиться к росту нагрузки. Например, если человек знает, что ему предстоит перенос тяжестей, то он должен правильно размять плечи и мышцы и только потом брать тяжести.
Иногда острая боль связана с переохлаждением. В таком случае нужно стараться одеваться более тепло и не находиться под кондиционером во избежание простывания и «застуживания» мышц.
Часто людям приходится много времени проводить на работе в сидячем положении. Это негативно влияет на состояние костей плеч и шеи и создаёт дополнительную нагрузку на грудной отдел позвоночника. Чтобы минимизировать боль, нужно принимать правильную позу, при которой спина будет прямой и без перекосов.
Итоги
Боль между ребрами – серьёзный и опасный симптом всевозможных болезней, который негативно влияет на общее состояние человека. Причин ее появления существует большое множество, но главная среди них – различные травмы костей.
Лечение требует своевременно проведенных мер и правильно назначенных лекарственных препаратов. Если человек регулярно выполняет физические упражнения, то его здоровье улучшается, мышцы тела укрепляются, а значит организм становится менее подверженным различным негативным факторам.
Симптомы — клиники в
Выбирайте среди лучших клиник по отзывам и лучшей цене и записывайтесь на приём
Симптомы — специалисты в Москве
Выбирайте среди лучших специалистов по отзывам и лучшей цене и записывайтесь на приём
Рекомендуем статьи по теме
Источник









