Постоянные сильные головные боли (говорят,мигрени) от переутомления, какой препарат посоветуете и почему
Arctic Cat Знаток (408) 9 лет назад
Нурофен в капсулах.Помогает хорошо, но с врачем надо посоветоватся перед любым серьезным приемом таких обезбаливающих.
Наталья Мастер (1816) 9 лет назад
ну если обезбаливаюший, то мне приэтом помогает только спазган или спазмалгон,а лечить не получается. Поменьше стрессов, побольше свежего воздуха.
Очень актуальный вопрос,тем более у меня как раз голова болит. Я пью Нурофен или Ибупром,их нужно чередовать,иначе привыкнешь. А так,смотря какие боли. А пропить курсом. Надо обратиться к невропатологу и пройти обследование!
Источник: личный опыт
MariaBe Гуру (2791) 9 лет назад
Лучше посоветоваться с врачом, он тебе посоветует то, что поможет именно тебе. А так можно попить витаминные комплексы, они никогда лишними не будут+ какое-нибудь успокоительное типа Новопассита+нормальный 8-9 часовой сон, активный отдых, прогулки на свежем воздухе. Надо лечить причину, а не следствие.
Не помогало ни чего.Пошла сдавать кровь-донором- сдала 5 раз.Голова болит очень редко по сравнению с тем что было раньше.
Василиса Оракул (67964) 9 лет назад
Боль по наследству
Мигрень – самый распространенный вид головной боли. Примерно каждый десятый человек страдает болью этого типа. Основная причина ее появления – наследственность. Человек может прожить полжизни, даже не думая, что получил с генами злополучную болезнь. Мигрень появляется, когда ей заблагорассудится, и сразу выводит человека из строя. Приступы проходят тяжело, пульсирующая боль сопровождается тошнотой, нервозностью, повышенной чувствительностью к звукам и свету. Кого-то бросает в жар, у кого-то начинается озноб. Продолжается мигрень от нескольких часов до… нескольких дней.
Мигрень – болезнь не приобретенная, с ней рождаются. Но, как утверждают врачи, в некоторых случаях возможно снизить риск приступа. Мы сами зачастую провоцируем боль, употребляя пищу, нарушающую тонус сосудов. Главный провокатор мигрени – аминокислота тирамин, которая содержится в твердых сырах, орехах, шоколаде – продуктах, на привычный взгляд, не только безобидных, но даже полезных. Много ее и в продуктах-аутсайдерах – салями и консервах. Вино, шампанское и пиво людям, страдающим мигренью, также противопоказаны. При легкой мигрени обычно используют простые анальгетики. Препараты назначают в первые минуты или часы от начала атаки, желательно не позднее, чем через 2–3 часа. При легких приступах назначают аспирин в виде шипучего раствора не позднее 10–15 минут от начала приступа. Хорошим эффектом обладают седалгин, пенталгин, спазмовералгин, солпадеин, парацетамол
Han Просветленный (39649) 9 лет назад
Страдал в течении 30 лет. Сейчас избавился, но не фарм средствами. Они только для снятия симптомов
Головная боль
Головная боль — очень распространенное явление. характеризующееся болевым ощущением в различных частях головы. Причины головной боли. Временные недомогания не связаны с какими-либо органическими изменениями мозга, частые головные боли являются симптомами какого-либо заболевания.
Обычные причины головной боли — усталость, эмоциональный стресс, недостаточное питание, зашлакованность организма, отравление, аллергия, нарушение внутричерепного кровообращения (например, при мигрени), повышение артериального давления (при гипертонии), избыток или, наоборот, недостаток крови в сосудах головного мозга.
Проявления головной боли. Подлинная головная боль исходит от нервных окончаний в мышцах плеч, шеи, головы, а также гладких мышц и передается в мозг.
Травы при головной боли
• Чтобы избавиться от мигрени и головной боли, попробуйте такое средство: влейте в стакан яйцо, залейте кипящим молоком, быстро размешайте и выпейте. Если так делать несколько дней, мигрень прекращается.
• Если сильная головная боль вызвана усталостью или стрессовым состоянием, попробуйте попить вечером (еще лучше — на ночь), 1 стакан настоя из равных частей цветков ромашки. листьев мяты, плодов фенхеля и корня валерианы. 2 столовые ложки этой смеси нужно заваривать 0,5 л кипятка и настаивать в течение ночи в термосе.
• Залейте 1 стаканом кипятка 2 чайные ложки горечавки легочной, кипятите 10 минут и пейте по полстакана 3 раза в день за 30 минут до еды. Или: 2 столовые ложки цветков липы залейте 2 стаканами горячей воды, кипятите 10 минут и пейте на ночь по 1-2 стакана. Это хорошее успокаивающее и болеутоляющее средство при нервных заболеваниях, головной боли, обмороках.
• При сильной головной боли положите компресс из чесночной кашицы на область висков.
• При головной боли от переутомления рекомендуется принимать теплую ванну или опустить в горячую воду ноги по щиколотки и посидеть так 10—15 минут. Затем принять стакан горячего настоя мяты (1 чайная ложка травы на стакан кипятка). А при головной боли, вызванной малокровием и общим ослаблением организма, нужно туго обвязать платком голову и лечь так, чтобы голова и ноги были на одном уровне. Полезно также выпить крепкого кофе.
• Сухие листья мяты перечной настаивают на водке 8 дней (1:2), затем процеживают и отжимают. Этой настойкой протирают лоб, виски, затылок и область за ушами. При головных болях можно также прикладывать к этим местам свежие листья мяты и держать до тех пор, пока боль не пройдет.
• Поставьте на огонь таз с равным количеством воды и столового уксуса, дайте закипеть. Когда пойдет пар, наклонитесь над тазом и очень медленно вдыхайте пар 15 раз. Обычно мигрень от этого прекращается или во всяком случае становится гораздо слабее. Еще можно при сильной головной боли медленно расчесывать волосы деревянной расческой 7-10 минут.
• При бессимптомной головной боли проделайте такую процедуру: обе руки по локоть опустите в максимально горячую воду (какую только сможете вытерпеть) и держите, пока боль не отпустит, подливая, если нужно, еще горячей воды. Также хорошо привязывать ко лбу тонкие ломтики сырого картофеля.
• При сотрясении мозга полезно принимать цветочную пыльцу с водочными настойками цветков боярышника и прополиса. Такие настойки можно купить в аптеке или приготовить самим. Дня приготовления настойки берут 10 столовых ложек водки и 1 столовую ложку цветков боярышника. хорошо перемешивают. Настойка из прополиса готовится в той же пропорции. Затем обе настойки, взятые в равных количествах, тщательно смешиваются. Принимать 3 раза в день до еды по 30 капель этой смеси с 1/2 чайной ложки цветочной пыльцы. Курс лечения 1 месяц.
• После перенесенного сотрясения мозга измельченные корневища марьина корня залейте водкой в соотношении 1:10, настаивайте 8—10 дней, затем процедите и принимайте по 1 чайной ложке 3 раза в день за 15—20 минут до еды. Одновременно с этой настойкой нужно употреблять по 1 /2—2/3 чайной ложки цветочной пыльцы 3 раза вдень.
• При головных болях, мигрени, невралгии рекомендуется: жевать семена аниса; есть ягоды брусники; смазывать лоб и виски соком лимона.
• При мигренях: отвар корневищ валерианы (2 чайные ложки на 200 мл, кипятить 15 минут, процедить, пить по 1 столовой ложке 3—4 раза в день перед едой); холодный настой донника (1 столовую ложку настаивать 4 часа на 200 мл холодной воды, и принимать по 50 мл 2—3 раза); отвар цветков пижмы (5 г на 200 мл, кипятить 15 минут) по 1 столовой ложке 3 раза за 20 минут до еды; порошок сухих цветков ромашки (по 0,2 г 2—3 раза после еды); настой цветков лаванды (3 чайные ложки настоять 10 минут в 400 мл кипятка), выпить в течение дня.
Питание при головных болях
Необходимо спланировать свое питание так, чтобы не перегружать желудок. Завтрак может состоять из фруктов, обед — из белковых продуктов.
Продукты, содержащие крахмал, такие как хлеб из цельной пшеницы, крупы, рис или помидоры, можно есть на ужин вместе с салатами. Нужно избегать специй, приправ, обработанных продуктов. У некоторых людей головную боль вызывают молоко и молочные продукты, шоколад, мясо курицы, печень, алкоголь.
Лимон — одно из самых эффективных средств от головной боли. Сок четверти лимона выжать в чашку с чаем и выпить. Это даст немедленное облегчение. Полезны яблоки, независимо от того, чем вызвана головная боль. При повторяющихся болях советуем каждое утро в течение недели съедать натощак очищенное яблоко.
Хорошо перед завтраком выпивать стакан воды (зимой — теплой, летом — холодной) с чайной ложкой меда, а также полезно обильное питье в течение дня.
Боярышник, колючий кустарник в народной медицине полезен в ряде многих сердечных заболеваниях.
В народной медицине применяется в лечении.
Подробнее
Мумие смолоподобный продукт вытекающий из расщелин скал и гор.
В народной медицине используется свыше 2 тыс. лет, полезен при воспалении дыхательных путей.
Подробнее
Диета и питание при некоторых заболеваниях, рекомендации и советы.
В данном разделе представлены рекомендации о правильном питании при некоторых заболеваниях.
Подробнее
Здоровый образ жизни, советы и рекомендации при некоторых заболеваниях.
Зож, рекомендации и советы при лечении в домашних условиях некоторых заболеваниях таких как.
Подробнее
Информация о народных методах лечения, лекарственных растениях, народные рецепты и рекомендации, предоставлены исключительно в ознакомительных целях, все рекомендации должны быть согласованы с лечащим врачом, любое практическое применение методик народной медицины требует консультации вашего лечащего врача.
Перед применением средств и методов народной медицины, проконсультируйтесь с врачем. Самолечение может навредить вашему здоровью!
Народные средства 2010
Головная боль от простуды и насморка.
Смазать лоб и виски натертой мякотью лимона с кожурой. Если головная боль сопровождается высокой температурой, мякоть лучше немного подогреть.
Головная боль нервного происхождения.
При головной боли на нервной почве весьма полезно пить свежий сок калины обыкновенной, есть больше свежих ягод клубники полевой. При периодических сильных болях — принимать свежий сок черной смородины (по 1/4 стакана 3 раза в день) или сырого картофеля (по 1/4 стакана).
Головная боль при мигрени.
Рекомендуется жевать семена аниса, есть ягоды брусники, смазывать лоб и виски соком лимона.
Настой цветков лаванды.
3 чайные ложки настоять 10 минут в 400 мл кипятка, выпить в течение дня.
Настой мяты перечной.
0,5 столовых ложки мяты перечной заварить 1 стаканом кипятка, закрыть крышкой и нагревать на водяной бане 15 минут, при этом часто помешивая, охлаждать при комнатной температуре 45 минут. Процедить и долить кипяченой воды до первоначального объема (до 1 стакана). Принимать в теплом виде до 75-100 мл 1-3 раза в день за 15 минут до еды. Настой хранить в прохладном месте не более 2 суток.
Головная боль от усталости, стресса, переутомления.
Если головная боль вызвана малокровием и общим ослаблением организма (обычно одновременно наблюдается расширение зрачка, падение пульса, лоб внезапно холодеет), нужно туго завязать голову платком и лечь так, чтобы голова и ноги были на одном уровне. Можно выпить крепкого кофе.
При головных болях от переутомления рекомендуется принимать теплую ванную или опустить в горячую воду ноги по щиколотки и посидеть так 10-15 минут. Затем принять стакан горячего настоя мяты (1 чайная ложка травы на стакан кипятка).
Рецепты от сильной головной боли.
- Положите компресс из чесночной кашицы на область висков.
- Медленно расчесывайте волосы деревянной расческой 7-10 минут.
- Поставить на огонь таз с равным количеством воды и столовую ложку уксуса, дать закипеть. Когда пойдет пар, наклониться над тазом и очень медленно вдыхать пар 15 раз. Обычно сильная головная боль от этого прекращается или, во всяком случае, становится гораздо слабее.
Головная боль от сотрясения мозга.
При сотрясении мозга полезно принимать цветочную пыльцу с водочными настойками цветков боярышника и прополиса. Такие настойки можно купить в аптеке или приготовить самостоятельно. Для приготовления настойки хорошо перемешайте 10 столовых ложек водки и 1 столовую ложку цветков боярышника. Настойка из прополиса готовится в той же пропорции. Затем обе настойки (в равных количествах) тщательно смешать. Принимать 3 раза в день до еды по 30 капель этой смеси с 1/2 чайной ложки цветочной пыльцы. Курс лечения 1 месяц.
Головная боль от повышенного давления.
Если боль вызвана повышенным давлением, небольшую горстку пера от красного лука заварить 3 стаканами кипятка, пропарить 1 час. Пить по 1 стакану настоя 3 раза в день за час до еды.
Компрессы, примочки, обтирания.
Можно привязать ко лбу, завернув в тряпицу не слишком толстые, но и не тонкие ломтики сырого картофеля или толченые можжевеловые ягоды, предварительно смоченные в хлебном вине (этот метод противопоказан при воспалении).
Можно делать компрессы из смеси кислого теста, мыла, руты и уксуса.
Взять 3 яичных белка, подмешать к ним немного шафрана и, смазав этой смесь полотенце, привязать его ко лбу.
Взять свежий лимон, срезать с него острым ножом с самой верхней корки кружок, очистить его об белого вещества и приложить к виску или к обоим вискам внутренней мокрой стороной.
Эти кружки прилипают к телу, затем под ними на висках появляются красные пятна, которые зудят. Боль через некоторое время проходит. Лимонный кружок держать пока головная боль не утихнет совсем.
Прикладывать в заушные области горчичники или делать компресс из черной редьки.
Приложите к вискам свежие листья сирени, липы, белокочанной капусты. Держите до исчезновения боли.
Сухие листья мяты перечной настаивают на водке 8 дней (1:2), затем процеживают и отжимают. Этой настойкой протирают лоб, виски, затылок и область за ушами. Можно также прикладывать к этим местам свежие листья мяты и держать до тех пор, пока боль не пройдет.
Не забывайте о диете!
Необходимо спланировать свое питание так, чтобы не перегружать желудок. Завтрак может состоять из фруктов, обед — из белковых продуктов. Продукты, содержащие крахмал, такие, как хлеб из цельной пшеницы, крупы, рис или помидоры, можно есть на ужин вместе с салатами. Нужно избегать специй, приправ, обработанных продуктов. У некоторых людей головную боль вызывают молоко и молочные продукты, шоколад, мясо курицы, печень, алкоголь.
Лимон — одно из самых эффективных средств от головной боли. Сок четверти лимона выжать в чашку с чаем и выпить. Это даст немедленное облегчение. Полезны яблоки, независимо от того, чем вызвана головная боль. При повторяющихся болях рекомендуется каждое утро в течение недели съедать натощак очищенное яблоко. Хорошо перед завтраком выпивать стакан воды (зимой — теплой, летом — холодной) с чайной ложкой меда, а также полезно обильное питье в течение дня.
Комментариев пока нет!
Источник

Причины состояния
Головная боль и слабость в организме могут появляться по разным причинам:
- развитие простудного или вирусного респираторного заболевания;
- развитие воспалительных процессов в организме;
- снижение артериального давления (гипотония);
- недостаток витаминов и минералов в организме (например, витаминов D и B12, отвечающих за транспортировку кислорода по кровеносным сосудам к головному мозгу);
- бесконтрольный прием некоторых лекарственных средств, вызывающих эти симптомы в качестве побочных эффектов;
- нарушение работы щитовидной железы, сахарный диабет и другие эндокринные патологии;
- эмоциональные нагрузки, стрессы;
- некоторые желудочно-кишечные заболевания, сопровождающиеся нарушением впитывания питательных веществ;
- сердечно-сосудистые болезни;
- менингит;
- доброкачественные и злокачественные опухоли;
- мигрень;
- синдром хронической усталости;
- недосыпание.
Как определить заболевание?
Как мы видим, причин головной боли и усталости может быть очень много. А как выяснить, являются эти симптомы признаками опасной патологии или нет?
Мнение эксперта
Филимошин Олег Александрович
Врач-невролог, городская поликлиника г. Оренбурга.
Образование: Оренбургская государственная медицинская академия, Оренбург.
В этом вопросе важно понимать, что развитие серьезного заболевания всегда сопровождается появлением ряда сопутствующих симптомов, которые позволяют дифференцировать ту или иную проблему.
ОРВИ
Описание
Задайте свой вопрос врачу-неврологу бесплатно
Ирина Мартынова. Закончила Воронежский государственный медицинский университет им. Н.Н. Бурденко. Клинический ординатор и невролог БУЗ ВО «Московская поликлиника».Задать вопрос>>
Группа заболеваний, которые характеризуются развитием острого воспалительного процесса в органах дыхания из-за попадания вирусов в организм.
Тип боли
При ОРВИ она связана с повышением температуры и появлением острого воспалительного процесса в горле, пазухах, носоглотке.
Наиболее часто фокусируется в области лба и висков, сопровождается чувством давления, «распирания» и тяжестью.
Другие проявления
ОРВИ может сопровождаться повышением температуры тела до 38-39 градусов, заложенностью носа, кашлем, воспалением в горле, ломотой в теле, ознобом, общим недомоганием, резью в глазах. Иногда на его фоне появляются другие осложнения (отит, ларингит, бронхит и т.д.).
Методы диагностики и терапии
Диагностику проводит врач терапевт, иногда ЛОР. Назначается лечение в домашних условиях, которое включает: постельный режим, микстуры от кашля, сосудосуживающие капли в нос, растительные отвары для полоскания горла, чай с малиной и медом, средства для укрепления иммунитета (Анаферон, настойка эхинацеи, Иммунал).
Мигрень

Мигрень (migraine) – заболевание неврологического характера, отличительным признаком которого является появление мучительных головных болей, связанных с нарушением работы сосудов.
Мнение эксперта
Митруханов Эдуард Петрович
Врач-невролог, городская поликлиника, Москва.
Образование: Российский государственный медицинский университет, ГБОУ ДПО Российская медицинская академия последипломного образования МЗД РФ, Волгоградский государственный медицинский университет, Волгоград.
Серьезные органические патологии (травмы, опухоли) при этом в картине заболевания отсутствуют.
Тип болевых ощущений
Мигрень сопровождается сильными и мучительными головными болями высокой или средней интенсивности, усиливающимися при движении, эпизодическими или постоянными, возникающими с одной или (реже) с двух сторон. При отсутствии лечения приступы могут длиться до 72 часов.
Другие проявления
Тошнота, рвота, фонофобия (чувствительность к громким звукам), учащенное сердцебиение, частое мочеиспускание, потливость, сонливость, вялость.
Методы диагностики и терапии
Диагностику проводит врач невролог. Диагноз утоняется по анализу жалоб пациента, лабораторным анализам, рентгенологическому снимку, МРТ.
Для лечения применяются: успокоительные средства (экстракт валерианы, Персен, Тенотен), растительные и искусственные антидепрессанты (настойка зверобоя, Амитриптилин), НПВП (Напроксен, Ибупрофен), анальгетики.
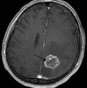
Злокачественная опухоль

Злокачественная опухоль характеризуется появлением патологического новообразования, опасного для человеческой жизни, состоящего из злокачественных раковых клеток, обладающих возможностью быстрого роста и метастазирования.
Тип боли
Интенсивность и характер болевого синдрома зависит от локализации опухоли, тяжести процесса, индивидуальных особенностей организма.
Другие проявления
На начальных стадиях опухоль может никак себя не проявлять вплоть до интенсивного роста новообразования. Тогда самочувствие пациента начинает резко ухудшаться, могут возникать: тошнота, утомляемость, рвота, нарушение слуха и зрения, трудности распознавания речи, расстройства общей и мелкой моторики и т.д.
Клиническая картина при раке очень обширна и многогранная.
Методы диагностики и терапии
Диагностика проводится комплексно и включает: КТ, МРТ, рентгенологическое исследование, лабораторные анализы, гистологию и цитологию. Лечение проводится хирургическое. Пациенту может быть назначен курс химиотерапии или лучевой терапии, а затем длительное медикаментозное поддерживающее лечение.
Менингит

Менингит – тяжелое инфекционное заболевание, характеризующееся воспалением головного и спинного мозга из-за попадания в организм бактерий, вирусов, или грибков.
Возникает как самостоятельное заболевание или в качестве осложнения.
Тип боли
Очень сильная, резкая, диффузная, распирающая, усиливающаяся при движении и повороте головы, а так же от резкого шума и световых раздражителей. При гнойном менингите болевой синдром особенно выражен.
Другие проявления
Пациента могут беспокоить так же: ломота в теле, тошнота, рвота, ригидность шеи, лихорадка, чувствительность к звукам и световым раздражителям, измененное состояние сознания, раздражительность, сонливость.
Методы диагностики и терапии
Для выявления менингита применяется люмбальная пункция. Из позвоночного канала врач извлекает спинномозговую жидкость и направляет ее в лабораторию для дальнейшего исследования. Диагноз подтверждается, если в ней находят вредоносных возбудителей (бактерии, вирусы). Больных менингитом лечат антибиотиками, противовирусными или противогрибковыми препаратами (в зависимости от типа возбудителя).
Иногда назначаются стероидные лекарства.
Боррелиоз

Боррелиоз (Болезнь Лайма) – инфекционное заразное заболевание, передаваемое человеку при укусе насекомыми и клещами.
Тип боли
При боррелиозе больного беспокоят сильные головные боли, чаще локализованные в глазном яблоке, могут отдавать в затылок. Симптомы не проходят даже тогда, когда человек спит.
Другие проявления
Ломота и скованность в мышцах и суставах, высокая температура до 40 градусов, тошнота, рвота, ощущение вялости, нарушение работы ЦНС и сердечно-сосудистой системы.
Болезнь преимущественно поражает кожные покровы, нервную и сердечно-сосудистую систему, опорно-двигательный аппарат.
Способы диагностики и лечения
Болезнь Лайма диагностируется на основании клинической картины, эпидемиологического анамнеза (прогулка в лесу, укус клеща), серологического исследования на выявление антител к боррелиям в сыворотке крови. Может применяться метод ИФА или ПЦР. Лечение назначается комплексное. Выбор препаратов зависит от тяжести болезни. Обязательно назначаются антибиотики, а так же нестероидные противовоспалительные препараты (Напроксен, Индометацин), иммунодепрессанты (Плаквенил), анальгетики, общеукрепляющие средства.
Артериальная гипертония

Заболевание сердечно-сосудистой системы, главным признаком которого является стойкое повышение артериального давления (от 140/90 и выше).
Тип боли
При гипертонии она сжимающая или генерализованная, пульсирующая, иногда вызывает ощущение плотной повязки на голове.
Как правило, сильнее проявляется по утрам, а в течение дня затихает.
Другие проявления
Тошнота, заложенность и шум в ушах, пелена в глазах, учащенное сердцебиение, ощущение давления в глазах, головокружение, вялость, подавленность.
Методы диагностики и лечения
Постановку диагноза осуществляет врач кардиолог на основании анамнеза, жалоб пациента, холтеровского мониторирования, ЭКГ, систематического измерения давления. Лечение комплексное, медикаментозное.
Специалист назначает блокаторы рецепторов ангиотензина, диуретические средства, антогонисты калия, лекарства для очищения сосудов и т.д.
Абузусная головная боль

Специалисты так же называют ее «рикошетной» или «лекарственной». Ее главной причиной является злоупотребление различными аптечными препаратами. Она относится к вторичным формам цефалгий, тесно связана с мигренью.
Тип боли
Проявляется двусторонней цефалгией сжимающего или давящего характера, умеренной или слабой интенсивности. Может быть диффузного характера, локализоваться в лобно-затылочной части или в височной области.
Усиливается при интеллектуальной и физической нагрузке.
Другие проявления
Усталость, вялость, подавленность настроения.
Методы диагностики и терапии
Диагностика осуществляется на основе анамнеза, расспроса пациента о принимаемых препаратах. Для снятия абузуса снижают дозировку принимаемого лекарства или полностью его отменяют, назначают средства от цефалгии, иногда антидепрессанты.
При тяжелом состоянии может потребоваться детоксикация.
Другие причины

- Заболевания придаточных пазух носа (гайморит, этмоидит, фронтит). Болит голова и слабость во всем теле, заложенность носа, давление и тяжесть в голове при наклоне вниз – типичные жалобы при синуситах, которые описывает пациент на приеме у специалиста
- Аллергические реакции. Особенно часто с этими симптомами сталкиваются весной в период активного цветения при аллергии на пыльцу растений и цветов. Пациенты жалуются, что у них болит голова и хочется спать, заложен нос, появляется слезотечение, сыпь на коже и другие признаки поллиноза.
- Гиперсомния — продолжительность ночного сна без объективной необходимости и усталость днем. Сонливость, усталость, головная боль – главные признаки этого состояния. Кстати, астения является разновидностью гиперсомнии.
- Анемия (малокровие) так же характеризуется вялостью, усталостью, болевым синдромом. У пациентов с анемией отмечается снижение гемоглобина, недостаточность функционирования эритроцитов, нехватка кислорода в крови. Отсюда и появляются все эти неприятные симптомы.
- Сахарный диабет и другие проблемы в области эндокринологии тоже являются причиной появления перечисленных симптомов. Диабет сопровождается так же повышением уровня сахара в крои, пониженным давлением, головокружением, сонливостью, жаждой.
Обратите внимание, что это лишь часть тех возможных болезней, при которых могут возникать слабость и головная боль.
Истинную причину этих симптомов может выяснить только специалист.
Алгоритм диагностики
Способы и методы диагностики подбираются индивидуально. Вначале врач осматривает пациента, оценивает характер жалоб, расспрашивает о недавно перенесенных болезнях и хронических недугах. Затем врач уточняет локализацию болевых ощущений, их длительность, частоту возникновения и т.д.
Примерный список вопросов
- Как давно вас беспокоит болевой синдром и слабость?
- Можете ли вы указать, в каком месте вы ощущаете болевые ощущения?
- Как часто вас беспокоят эти симптомы?
- Ощущаете ли вы тошноту в момент приступов?
- Возникают ли у вас головокружения?
- Усиливаются ли симптомы при физической нагрузке?
- Влияет ли ваше состояние на общую активность в течение дня?
- Наблюдали ли вы у ваших родственников похожие признаки?
- Чем вы снимаете неприятные ощущения?
- Какие лекарственные препараты принимаете в настоящее время?
- Какими заболеваниями болели в ближайшие месяцы?
- Какие есть хронические заболевания вас и у ближайших родственников?
Если консультации с пациентом будет недостаточно, врач назначает дополнительные методы диагностики, например, лабораторные анализы, ЭКГ, МРТ и т.д.
На основании полученных данных будет выставлен точный диагноз.
Как снять симптомы самостоятельно?
Если неприятные симптомы были вызваны физической усталостью, умственными нагрузками или напряжением в течение рабочего дня, болевой синдром можно устранить самостоятельно, не прибегая к лекарственным препаратам.
Положительное действие оказывают пешие прогулки на свежем воздухе, контрастный душ, принятие теплой ванны с морской солью, проветривание помещения, медитация. Можно просто полежать, расслабиться, послушать спокойную музыку, почитать легкую интересную книгу.
Если болит голова, можно сделать ароматный чай с листьями мяты, шиповником, лимоном, клюквой или ромашкой. Такие напитки обладают общеукрепляющим, успокаивающим действием, придают сил, повышают иммунитет, улучшают работу головного мозга.
В некоторых случаях возможен прием простых обезболивающих средств (Ношпа, Спазган).
При этом следует помнить, что у каждого средства есть противопоказания и побочные действия, поэтому лучше перед их применением посоветоваться с врачом.
В каком случае обращаться к врачу?
Пациенту важно знать! Если болевые ощущения в голове и усталость сопровождаются другими симптомами (тошнота, рвота, нарушение зрения, чувствительность к громким звукам, дезориентация в пространстве и т.д.), следует незамедлительно обратиться к врачу для оказания помощи!
Посмотрите видео на эту тему

Заключение
Слабость и головная боль – распространенные симптомы, с которыми врачам приходится сталкиваться в клинической практике достаточно часто. Чаще всего они не представляют угрозы для здоровья и жизни пациента, легко купируются домашними и легкими медикаментозными средствами.
Но бывают ситуации и более тяжелые, когда признаки эти могут указывать на развитие серьезных заболеваний. Поэтому врачи советуют быть внимательными к своему самочувствию и при необходимости не откладывать визит к врачу. Будьте здоровы.
Источник

